審美歯科の7つ道具 ~その4~
近年、急速にセラミックスを使用した審美歯科治療が普及している理由の一つに接着技術の進歩が挙げられます。
かなり以前からポーセレンラミネートベニアという治療法は存在しましたが、あまり耐久性がなかったために普及しませんでした。
ここで言う、耐久性とはセラミックスそのものの耐久性ではなくて、セラミックスと歯とを接着する材料の耐久性です。
最近では、接着材そのものの性能が向上していることにより、比較的安心してセラミックスを使用することができるのです。
しかし、まだまだ不十分な場合もあります。
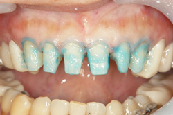
それは、歯が曲がっていたり飛び出していたりする場合、歯を削らなくてはならない範囲が大きくなりエナメル質の下の象牙質が露出してしまった場合です。
実は、セラミックスと歯の接着において象牙質の接着強度はエナメル質に比べて不十分なのです。
| 【従来の接着の場合】 | 【新しい接着の場合】 |
![]() |
![]() |
| 歯と象牙質との間に間隙が認められる | 歯と象牙質との間に間隙が認められない |
|---|
しかし、最近スイスの歯科医Dr.Magneが新しい象牙質の接着技術を発表しました。
彼の方法は即時象牙質接着法(Immediate dentine bonding)といい、研究室でのデータもまた人の治療に応用した場合のデータも実際の臨床経過も素晴らしいのです。
いまDr.Magneはアメリカの南カリフォルニア大学の教授をしていますが、直接教えを請うべく渡米して技術を学んでまいりました。

Optibond FL
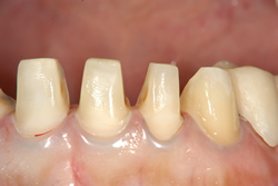
これで象牙質の露出するような難しい場合でも、安心してセラミック治療を受けていただくことができるようになりました。
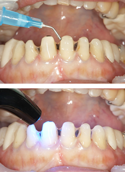
象牙質への接着手順
![]() |
形成面を通法に従い、リン酸エッチング→象牙質のプライミング→ボンディング剤の塗布→光照射にてボンディング層をコーチングする |
![]() |
光沢のあるところは、 opti-bond FLにてコーティングされた部分 |
![]() |
さらに、未重合層を除去するために、グリセリンジェルで酸素を遮断した上で再度光照射を行う |
![]() |
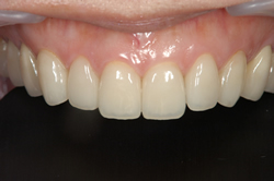
ポーセレンラミネートベニアの装着された上顎6本の前歯 |









