審美歯科の7つ道具 ~その3~

もし、あなたが最高の審美歯科治療を受けて、見違えるように白く、美しい口元になったとしましょう。しかし、あなたは自覚してなかったけど、夜、歯ぎしりをしていた。結果、1年後に歯ぎしりが原因で前歯がかけてしまった。そして、1年後、歯周病になってしまい、歯が抜けてしまった。
この審美歯科治療は最高でしょうか?
1年後にはセラミックがかけて、
2年後には歯が抜けてしまったのです。
私は最高の審美歯科治療は見た目が美しいだけでなく、長持ちしなければいけないと思っています。私は最低10年、持たせるために最善を尽くしています。
治療して最低10年、持たせるために私が最も重要だと思うもの、それは「咬み合せ」です。
咬み合せが悪く、歯ぎしり、咬みしめがあると歯に無理な力が加わり、セラミックが割れる原因となります。
また、さらに歯ぎしり、咬みしめがひどくなると歯周病を誘発し、最悪、せっかくきれいにした歯が抜けてしまう原因となる場合もあります。
これだけ重要な咬み合せですが、実は学問的にははっきりと確立されておらず、様々な理論があります。しかし、そのほとんどがそれぞれの主観と試行錯誤によって咬み合せを改善するというものです。
当院では主観ではなく、咬み合せを客観的に計測しています。
そのためにK7という福岡にも3台しかない機械を導入しています。
![]() |
![]() |
![]() |
| K-7の装置 | K-7使用状況 | K-7測定例、悪い状態 |
|---|
最新のコンピュータテクノロジーにより、ひとの顎の働きや噛み合わせの善し悪しがわかるようになりました。
K7によって、以下のことが可能になりました。
・筋肉の働きを客観的に数値化して調べることができる
・顎の動きを客観的に数値化して調べることができる
・正しい顎の位置を知ることができる
![]() |
![]() |
|
| 治療前の噛みしめた時の筋肉の働きは不十分です。特に右側の顎の筋肉(紫と赤)の働きが良くありません。 | 治療後の噛みしめた時の筋肉の働きは良好です。4つの波が大きくなって揃ってきています。 | |
|---|---|---|
![]() |
![]() |
|
| 治療前は咬みあわせの位置が後ろへ2.2mmもずれています(左グラフ)。 | 治療後は顎の筋肉の楽な位置で噛みあわせができるようになりました。 |
当院ではこのK7で検査をしてから治療計画も立てますし、治療途中にも咬み合せが上手くできているかどうかをチェックし、計画を修正しています。また、最終的な歯の咬み合せが筋肉、骨格、関節と上手く調和した咬み合せや歯並びができているかどうかを最終チェックしています。
もし、咬み合せを考えずに治療をしてしまうと長持ちしないというだけでなく、顎関節症を引き起こすリスクもあるのです。
例えば、前歯が少し出ていたので良かれと思って引っ込めたところ、顎の位置が変わってしまい、顎関節症になってしまうということもありうるのです。
K7を使って正しい咬み合せを事前に知っておくことで、咬み合せを良くするための試行錯誤がなくなり、特に全体治療をするうえでの治療期間を短縮し、患者さんの負担を軽くすることにも役立つのです。
![]() |
![]() |
|
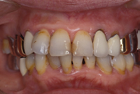
| 治療前は咬みあわせがずれていて、笑顔もうまく作れません。 | ||
![]() |
![]() |
|
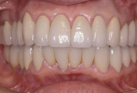
| 治療後は、顎の位置も正しくなり、お顔の周りの筋肉の活性化により口元も若返りました。 | ||














