男性と女性の審美歯科

私が「審美歯科を受けるんだ」と言うと周りの社長友達は「何で、そんなことを?」と言いました。しかし、治療が終わった私の仕事がどんどん上手く行くのを見て彼らは・・・
現在、審美歯科治療を受けられるのは「自分の口元を何とかしたい!」と自分の口元にコンプレックスを抱えている30代以上の女性がほとんどです。
しかし、最近では男性のエグゼクティブの皆さんにも体を鍛えることがエグゼクティブには欠かせないということが認知されてきました。
なぜエグゼクティブは体を鍛えるのでしょうか?
それは健康のためです。
健康を失うと全てを失うからです。
病気になってしまうと、それまでどんなに頑張ってお金を貯めても、どんなに素晴らしい家に住んでいても、それらの幸せを味わうことが難しくなってしまうのです。
そして、病気になってしまうと当然、仕事にも大きな影響が出ます。会社そのものが危なくなってしまう可能性が出てきます。
そのようなリスクを回避するために、人生を満喫するためにもエグゼクティブは体を鍛えるのです。
鍛えられた体は見た目にも若々しく、エネルギッシュに写り、人を惹きつけ、ビジネスに大きくつながってくるのです。
前置きが長くなりましたが、それと同じことが審美歯科治療にも言えるのです。
冒頭にご紹介した方はある会社の社長さんで、年は50を過ぎています。
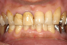
それまで全く歯を大切にしてこなかったために歯はボロボロになってしまい、全体的に治療をせざるを得なくなりました。
「せっかくやるのだからキレイにしてもらおうか」という軽い気持ちで審美歯科治療を受けられました。周りからは「そんな今更、そんなことやったってしょうがないのに」と冷やかされました。
しかし、審美歯科治療が終わり、審美的に理想の口元を手にした彼を見て、社長友達は羨望の眼差しを彼に向けるようになりました。
なぜなら、治療前よりもずっと若々しく、元気で、笑顔で笑うのです。
その姿に多くの社員、お客様が引き寄せられ、次々と仕事を成功させていくのです。
![]() |
![]() |
|
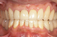
| かぶせ物の材料の劣化もあり、やや疲れた感じのお口元です。 | しっかり噛めて、 若々しいお口元となりました。 |
|---|
その人の魅力は内面だけでなく、外面の力によっても引き出されるのです。
体を鍛えるのはとても素晴らしいことです。
しかし、努力と時間が必要です。
ちょっと努力を怠ると、すぐに衰えてしまいます。

エネルギッシュなイメージの
社長さんです。
そして、その成果はきちんとしたメンテナンスを受けていれば長期的に維持することができるのです。それは鍛えた体を維持する苦労と比較すると圧倒的に少ない労力で実現可能なのです。
エグゼクティブの人生をより輝かせ、プライベートも仕事でも成功するために審美歯科治療は十分、投資するに値するものだと私は確信しています。
もし、あなたがまだ私の考えを理解できないのであれば是非、ご相談にいらしてください。あなたにとって審美歯科的に理想のスマイルデザインをご提案しますので。





