お口の悩み


「前歯が1本、飛び出している」
「2番目の歯が1本だけへこんでいるのが昔から気になっていた」
「2番目の歯だけが凄い小さくて前歯に隙間ができている」
「真ん中の前歯の間が開いていて、隙間があいている」
「年をとって歯茎が下がってきたことで、歯と歯茎の間に隙間ができてきた」
「昔はなかったのに、年を重ねるにつれて歯が開いてきた」
このようなお悩みを持たれてる方は実は非常に多いのです。
歯並び全体が悪いわけではないけど、歯並びの一部に問題がある。
その問題がある1本だけ治してもらいたいと思って矯正歯科に相談に行ったんだけど、全体的に治さないと治らないと言われたことがある方も多いのではないでしょうか?
そして、矯正をするとなると期間が少なくとも1年半、治療費も80万円はかかるので諦めてしまったのではないでしょうか?
でも、あなたのその悩み、諦めないでください。
審美歯科治療で解決できる可能性があります。
・結婚式
・就職活動
・同窓会
のように時間的にも余裕がない場合には、審美歯科治療によってあなたの歯並びの悩みを解決することは非常に有効だと思われます。
![]() |
![]() |
|
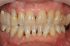
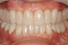
| かなり乱杭歯ですので、本来は矯正治療が良いのですが、事情により矯正ができない場合は、セカンドベストの治療としてラミネートベニアを行います。 | 完璧ではありませんが、かなりの所まで回復出来ています。 |
|---|
治療方法
| 治療方法 | 主にラミネートベニア |
|---|---|
| 治療回数 | 基本的に2回 ラミネートベニアだけで対応できない場合はプラス2回程度 |
| 費用 | 1本 126,000円 |
| 1回の治療時間 | 1時間から2時間程度 |
| 痛み | 麻酔が必要な場合がありますが、治療後に痛み、ハレなどが出る心配はありません |
| 注意事項 | 治療の特質上、仮歯が壊れやすかったり、外れやすいことがありますがラミネートベニアは丈夫ですので心配ありません |
特徴
クイック矯正
矯正治療であれば月1回、1年半は通い続けなければいけない治療がなんと基本はたったの2回で終了するのです。
痛みが圧倒的に少ない!
成人してからの矯正治療には痛みが伴います。
しかし、ラミネートベニアによって歯並びを治すのには、治療後の継続的な痛みなどはありませんので安心です。
年齢に関係なく適応できます!
矯正治療の場合、歯周病やかぶせ物の程度によってはできない場合があります。
しかし、ラミネートベニアによって歯並びを治すのに年齢は関係ありません。
歯周病で歯茎が下がっていても、かぶせ物を以前にたくさん入れていても、関係なく適応することができます。
虫歯になりづらくなります!
通常の矯正治療も治療が完了すれば虫歯になりづらくなります。
しかし、矯正治療中は装置にプラークが付着し、非常に虫歯になるリスクが上がります。しかし、ラミネートベニアの場合は治療中の虫歯になるリスクは全く心配がありませんし、治療後は虫歯になるリスクが矯正治療よりも断然、低くなります。
なぜなら、虫歯になりやすい部分をラミネートベニアで覆ってしまうからです。
ラミネートベニアは虫歯になりませんから、後はしっかりとしたメンテナンスを行っていれば、自分の歯も長期的に健康に保つことができるのです。
歯の色もより白い、好みの色に変えられます!
通常の矯正治療ではご自分の歯の色を変えることはできません。
しかし、ラミネートベニアの場合には理想的な口元にふさわしい白さに変えることができるのです。あなたの歯並びがキレイになり、美しい歯の色になったとしたら、あなたはどんな気持ちになりますか?
歯の形も理想的な形に変えることができます!
通常の矯正治療では歯の形を変えることはできません。
しかし、ラミネートベニアの場合には理想的な口元にふさわしい歯の形に変えることができるのです。あなたが昔から気になっていたところの歯の形があなたがいつも思い描いていた形になるとしたら、あなたはどんな気持ちになりますか?
中程度の歯並びの乱れまで適応できます!
乱杭歯の程度が中程度までは適応できます。
ただし、あまり乱杭歯の程度がひどい、極端な出っ歯、下顎が出ている場合には別の方法をオススメします。
「ここの歯がもうちょっと大きかったらな・・・」と思っていたあの小さかった歯の形が変わるとしたら・・・
「ここの歯がもうちょっと引っこんでたらな・・・」と思っていたあの出っ張っていた歯が引っ込むとしたら・・・
「ここの隙間、何とからならないのかな・・・」と思っていたあの隙間が埋まるとしたら・・・
あなたがこれまでにずっと思い続けてきたことがラミネートベニアによって実現するかもしれません!





