お口の悩み


保険外の歯を入れたのに
歯の根元が黒くなってしまってます
「歯を入れてから、まだ3年しか経ってないのに、歯の根元が黒くなってきました!」
「写真を撮った時に歯茎が黒く見えるんですけど・・・」
「歯の根元が黒く見えるのが気になってるので何とかしたい!」
このようなお悩みを持たれてる方は実は非常に多いのです。
前歯を以前に治療したんだけど、治療した歯の根元が黒くなってきている。
どうしてこんな風に歯の根元が黒くなってしまったんだろう?
多くの方は疑問は持つものの、そうなってしまった原因も分からないので、どうしたら良いのかも分からないことが多いようです。
また、やり替えれば良くなるとは思うものの、お金も時間もかかってしまうことに抵抗感を感じられてる方も多いと思います。
でも、あなたのその悩み、諦めないでください。
審美歯科治療で解決できる可能性があります。
まずは、どうして治療した歯の根元が黒くなってしまったのかを考えてみましょう。
歯の根元が黒くなってしまう原因は大きく分けて2つあります。
原因(1)
時間の経過とともに歯茎が下がってしまい、治療当初は見えなかったかぶせ物と歯の境目にある金属が露出してしまい、その金属部分の黒さが歯の根元の黒さの原因となってしまう
歯茎が下がってしまうのは原因があります。
それはかぶせ物の形が悪かったからです。
かぶせ物の形が悪いと歯茎を刺激してしまい、歯茎が歯肉炎になり、歯茎が下がってしまう大きな原因となってしまうのです。
原因(2)
歯茎が下がらなくてもメタルボンド(従来型のセラミック治療)は金属の上にセラミックを焼き付けているのでかぶせ物と歯の境目の金属部分がアンブレラ効果によって黒く見えてしまう
アンブレラ効果とは外から歯茎に当たった光がメタルボンドの金属部分によって遮断されることで歯茎が明るさを失い、暗く見えてしまうことをいいます。
では、このような悩みはどうすれば解決できるのでしょうか?
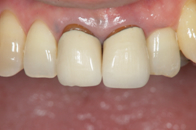
![]() |
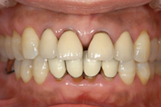
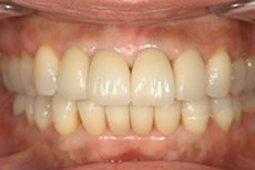
![]() |
|
| 歯周病により歯茎が下がってしまい、メタルボンドのつなぎ目が見えてしまっています。 | 金属を使わないオールセラミッククラウンできれいな歯になりました。歯茎のお手入れも上手にしていただいています。 |
|---|
治療方法
| 治療方法 | 主にオールセラミック治療 |
|---|---|
| 治療回数 | 基本的に3回 根管治療が必要な場合はプラス2回程度 |
| 費用 | 1本 136,500円 |
| 1回の治療時間 | 1時間程度 |
| 痛み | 麻酔が必要な場合がありますが、治療後に痛み、ハレなどが出る心配はありません |
特徴
オールセラミックは金属を使いません
メタルボンド(従来型のセラミック治療)は金属にセラミックを焼き付けるものだったので、どうしても金属を使用せざるを得ませんでした。
以前は全てセラミックでかぶせ物を作ると、どうしても欠けたり、割れたりする強度の問題がありました。しかし、ジルコニアセラミックスの登場により現在ではオールセラミック(全てセラミックのかぶせ物)でも十分な強度が得られるようになりました。
このオールセラミックのかぶせ物に替えることで歯の根元の黒さを解消することが可能になります。
しかし、単にオールセラミックのかぶせ物に替えれば良いという問題でもありません。以下のような技術の裏付けがあって初めて、治療の効果が持続するようになるのです。
高い精度の治療
マイクロスコープという歯科用顕微鏡で12倍~16倍に拡大して治療をすることで、より精密に仕上げることが可能になります。
歯茎が下がらないかぶせ物の形
実は歯茎が下がらないかぶせ物の形というのがあります。
歯茎の下に隠れている部分の歯の膨らみ具合を適切に調節することが非常に重要なのです。この膨らみが適切でないと歯茎が下がる原因となってしまうといわれています。
しかし、歯茎の下にあるかぶせ物の適切なふくらみが歯茎が下がることに関係があるということを知らない先生が多いのです。
そして、歯茎の下に隠れている部分の膨らみを適切にする技術は非常に難しいのです。なぜなら、見えづらいですし、歯茎が邪魔をしてやりづらいからです。そして、そのようなパッと見、分らないような地味なところまで徹底したこだわりを持つのは難しいのです。なぜなら、それだけ手間がかかり、大変だからです。
高い精度の型どり
かぶせ物を作り上げるためには型を採らないといけません。
しかし、精密に削った形が再現されてないといけません。精密に削れば削るほど、歯茎の下を削り込むことになります。
この歯茎の下の部分の型をしっかりとれるかどうかが非常に重要なポイントとなり、高い技術が要求されるのです。
美しく見える歯の形
主観やなんとなくではなく、美しく見える歯の形というのは決まっています。
しかし、多くの場合はその基準を知らないでかぶせ物が作られています。

笑顔に自信が持てるようになりました。
「今までと違う!」と。
なぜなら、当院では審美的な基準に従って歯の形も作っているからです。
「ここの歯の根元の黒いのが気になる・・・」と思っていた歯の根元の黒っぽさが消えたとしたら・・・
「治療する前は歯の根元がこんな色じゃなかったのに・・・」と思っていたあの治療前の歯の白さが取り戻せるとしたら・・・
あなたがこれまでにずっと思い続けてきたことがオールセラミック治療によって実現するかもしれません!





