保険外治療一覧
初診料やレントゲン検査、虫歯や歯周病などの通常の治療は、健康保険を適用し、その点数に応じて1割~3割の窓口負担をいただいております。
(初診料とレントゲン検査、歯周検査等で2,500円~3,500円程度)
ここに示すのは、審美治療やインプラント、あるいは健康保険が適用されない先進技術の治療法についての診療費です。
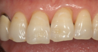
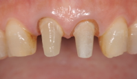
審美歯科修復
| ポーセレンラミネートベニア |
120,000円(税抜) |
   |
特徴
100パーセントセラミックス。 歯の表面を0.5mm程度削って生体接着法でセットします。
最小限の歯の切削で理想的な色、形を得ることができます。
治療により歯の強度も向上します。
適応症
ある程度、健康な歯の質が残っている場合。
歯のねじれ、すきま、摩耗により短くなった歯、ひび割れや色の悪い歯が理想的な色と形になります。
|
| セラミックインレー |
小臼歯・・・50,000円(税抜)
大臼歯・・・70,000円(税抜) |
   |
特徴
形成した歯の形をスキャナーでコンピューターに取り込み、高品質なセラミックスのブロックを削り出して作成します。
医院内の設備でセレックのセラミックスは、天然歯と同等の固さで生体に親和性があり、接着により長期間にわたる耐久性があります。
適応症
修復範囲がある程度限られます。
全体をカバーするには、やや強度不足ですが部分的に修復する場合には最適です。
|
| メタルセラミッククラウン(全体修復) |
120,000円(税抜) |
 |
特徴
中は金51%、パラ27%、銀18%の貴金属の合金を使用します。 金属の上に陶器を焼き付けてあります。 保険の前装冠と比べて、何年しても歯の色の変色はありません。色はオーダーメイドで作ります。 歯ブラシによるすり減りがありません。
適応症
強度を優先して、5本以上の長いブリッジに使用します。
取り外し式の義歯の支台としては最適です。
|
  |
特徴
歯の質と近い性質なので金属より接着が優れています。
唾液による金属の腐食が起きないので、歯の根の色が変わりにくいです。
接着性が強いため、歯根のひび割れ予防になります。
適応症
オールセラミッククラウンの場合のグラスファイバーの土台となります。
|
| E-Max プレスセラミックス アンレー |
120,000円(税抜) |
  |
特徴
セラミックを注入高圧プレスして作るため、強度に優れます。
天然の歯のように自然で生命感が表現できます。
接着を行うため、セメントの溶解が起こらず長持ちします。
適応症
審美的要求が高い、広範囲のむし歯、外傷によりこわれた歯、変色歯でつめもの部分が広範囲な場合に有効です。
金属アレルギーがある場合にお勧めです。
|
e-Max プレスセラミックス インレー
|
小臼歯・・・70,000円(税抜)
大臼歯・・・90,000円(税抜) |
 |
特徴
セラミックを溶融して加圧しながら製作しますので、かみ合わせの力に対しても十分な耐久性があります。
歯に接着をするため、セメントの溶解によるダツリがないため、歯が長持ちします。 何年しても歯の色の変色はありません。色はオーダーメイドで作ります。
適応症
全体をかぶせる必要のない、部分的な欠損に最適です。 金属アレルギーの方にも安心して使用できます。
|
| ジルコニア冠 |
120,000円〜130,000円(税抜) |
   |
特徴
セラミックを補強するフレームの部分がジルコニアセラミックスという素材で出来ています。
曲げ強度は1300メガパスカルと金属以上です。
ジルコニアフレームの上にセラミックを築盛しています。 歯肉が退縮しても歯肉の色が黒く見えません。
接着を行うため、セメントの溶解が起こらず長持ちします。より強度を優先して全体をジルコニアで製作する場合もあります。
適応症
強度が十分なため、ブリッジやインプラントに適用出来ます。
金属アレルギーの方にもお勧めです。
|
| ダイレクトトボンド(ビルトアップ) |
50,000円~100,000円(税抜) |
  |
特徴
歯の形や色をナノフィラーコンポジットレジンで直接修復。
最終研磨はマイクロスコープを使用して行います。
健全な歯のを削らずにきれいでバランスのよい歯になります。
適応症
1日で治療が終わりますので、治療期間が取れない方にもOK。
|
一般修復
パラジウム冠 セラミック冠の
ブリッジの一部として使用 |
50,000円(税抜) |
| 白金加金冠(全体修復) |
100,000円(税抜) |
 |
特徴
ゴールドは生体に優しい親和性の高い貴金属です。
歯科用に硬さを調整してあります。
適応症
セラミック冠とBrで連結してある場合の見えない部分に使用。
|
| 白金加金インレー(部分修復) |
小臼歯・・・50,000円(税抜)
大臼歯・・・70,000円(税抜) |
 |
特徴
貴金属なので精密に製作でき歯にぴったり適合します。
金属アレルギーを起こしにくいです。
適応症
ほかの部分の金合金修復と調和をとりたい場合。
|
 |
治療が長期になる場合、かみ合わせや見かけを維持します。
歯が汚れたり、しみたりするのを防ぎます。
最終的な歯のかみ合わせや形の参考になります。
簡単に形を修正できます。
|
義歯
| 金属床部分義歯 |
250,000円~300,000円(税抜) |
| 内冠 |
30,000円(税抜) |
| 外冠 |
70,000円~80,000円(税抜) |
| ICアタッチメント |
30,000円(税抜) |
| 金属床総義歯 |
300,000円~400,000円(税抜)(チタン床) |
| 顎頭蓋機能矯正法 |
100,000円~200,000円(税抜) |
インプラント(人工歯根)
 |
手術の感染を防ぐため器具などの完全滅菌の費用です。
専用手術室にて行います。
|
| ストローマンインプラント(スイス) |
200,000円(税抜) |
  |
生体にやさしいチタン素材の人工の歯根です。
世界的なシェアは40%で学術的な研究もすすんでいます。
|
| スプラインインプラント(アメリカ) |
200,000円(税抜) |
 |
表面にハイドロキシアパタイトがコーティングしてあるため、骨との結合が短期間でおこります。
上あごや抜歯直後の骨の柔らかいケースに使用します。
|
 |
ストローマンインプラントと歯をつなぐための中間構造物です。
セメントを使用してシンプルに固定性の歯を入れるためのものです。
100%チタン製です。
|
  |
アバットメントやセラミック冠をネジで固定するための費用です。ネジを緩めることで歯を外すことができるため、修理や経年的なトラブルにも対応が可能です。
セメントを使用しないため、より清潔に保つことができ、耐久性も高まります。
|
| CAD/CAMカスタムアバットメント |
50,000円(税抜) |
  |
インプラントと歯(上部構造)をつなぐアバットメントを、カスタムメイドする場合の費用です。
複数のインプラントで平行性がない場合などの、複雑な症例にも対応できます。
|
  |
2~4本のインプラントで、取り外し式の義歯を固定するためのシステムです。インプラントと義歯がしっかりと固定されるので、比較的固いものでも痛くなく噛むことができます。
清掃が容易で審美性も自由に再現できます。
|
| サイナスリフト |
50,000円〜100,000円(税抜) |
| GBR(骨組織再生法) |
50,000円〜100,000円(税抜) |
  |
インプラント部分の骨が足りない場合に、骨増加させる手術です。 ご自分の顎の余分な骨や、感染の心配のないBio-oss,やBioguideなど安全性が確立された移植材料とバリア膜を使用します。
|
| 院内CT撮影、診断料 |
1回 30,000円(税抜) |
 |
池田歯科内に設置の3D CTにより、骨の状態を3次元的(立体的)に解析します。 これにより、使用するインプラントの長さや太さをシュミレーションします。
|
歯周外科
| エムドゲイン(エナメルマトリックスによる組織再生法) |
基本料 50,000円(税抜)
+ 歯数 20,000円(税抜) |
| 骨移植法 |
50,000円~100,000円(税抜) |